Scroll Down

Targeted Radiology Education 

Focused Radiology by TS is an educational YouTube channel created to support radiologists, radiology trainees, clinicians and health care professionals seeking clear, and concise radiology content.Developed by a practicing radiologist, the channel emphasizes high-yield learning through focused discussions that integrate imaging findings with diagnostic reasoning. Each video is designed to be short yet impactful, including key imaging patterns, differential diagnoses, or interpretive tips suitable for busy learners. It covers a wide range of topics and modalities with ongoing content added periodically.
Videos

CT Pulmonary Angiogram (CTPA) Interpretation

This series of videos reviews the relevant anatomy and outlines the basics of approaching CTPA interpretation, with a review on relevant findings in positive cases of pulmonary embolism.
CTPulmonary Angiography (CTPA) Interpretation - Part 1
Findings of Acute Pulmonary Embolism - CTPA Interpretation Part

Case Reviews

This series of short videos show case clinical cases with various findings and pathology from different modalities, designed for residents, and medical doctors to quickly review the topic.
CTPulmonary Angiography (CTPA) Interpretation - Part 1
Findings of Acute Pulmonary Embolism - CTPA Interpretation Part
Findings of Acute Pulmonary Embolism - CTPA Interpretation Part
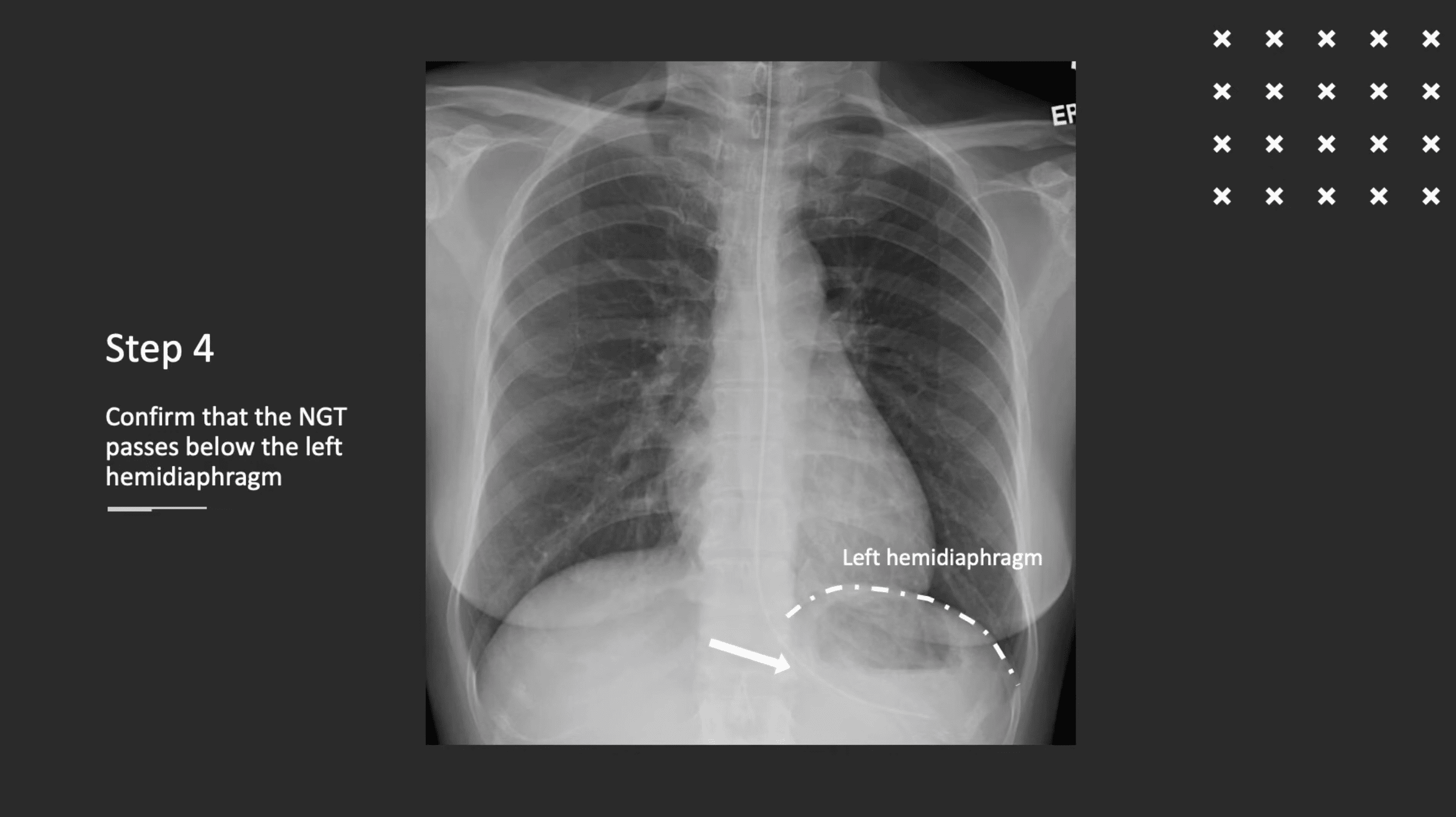
Chest X-ray Nasogastric Tube Position Interpretation
This video presents a systematic method for interpretation of nasogastric tube position on chest x-ray (CXR), and reviews the common patterns of nasogastric tube malpositioning and associated complications.
Cystic Lung Disease on High-Resolution Thoracic Computed Tomography (HRCT)
This video summarises the key characteristics and patterns of cystic lung disease on HRCT and the associated demographical, clinical and radiologic features which help in differentiating between the more common diagnostic possibilities.
Identifying MRI Brain Sequences
This video provides a concise visual guide to identifying the most frequently used sequences in brain MR imaging.
Your Ideas
Have a radiology topic that you wantcovered? Please let us know by filling the form below, or email us at focusedradiology@gmail.com.
Thank you! Your submission has been received!
Oops! Something went wrong while submitting the form.